Il dispositivo consiste in uno speciale scanner centrale dentro cui viene inserito il sensore, su cui è stata precedentemente registrata la zona da valutare all’interno della bocca del paziente.
Così facendo si digitalizza l’immagine che viene direttamente inviata al pc e viene ridotta al minimo l’invasività dell’esame. Si tratta di uno strumento molto più flessibile e sottile rispetto agli altri ingombranti e rigidi sensori intraorali, il sensore infatti si adatta alla morfologia e alla struttura anatomica da radiografare.
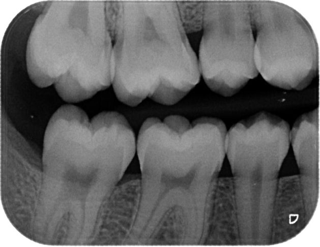
E’ particolarmente indicata per visualizzare in modo specifico l’anatomia di un determinato elemento dentale (corona, radice del dente, tessuto gengivale) quando si sospetti una patologia circoscritta ad un singolo elemento.
Grazie al digitale si ottiene un’immagine più grande e definita che permette di migliorare la diagnosi.